Custom Dentures & Partials in Hawthorne, CA

Reclaim your smile’s function and beauty. Whether you need to replace a few teeth or a full arch, our Hawthorne team provides high-quality, modern dentures designed for comfort and a natural look.

Finding the Right Denture for Your Lifestyle

At Trusted Dental & Orthodontics, we don’t believe in "cookie-cutter" smiles. We offer several options based on how many teeth you are missing:

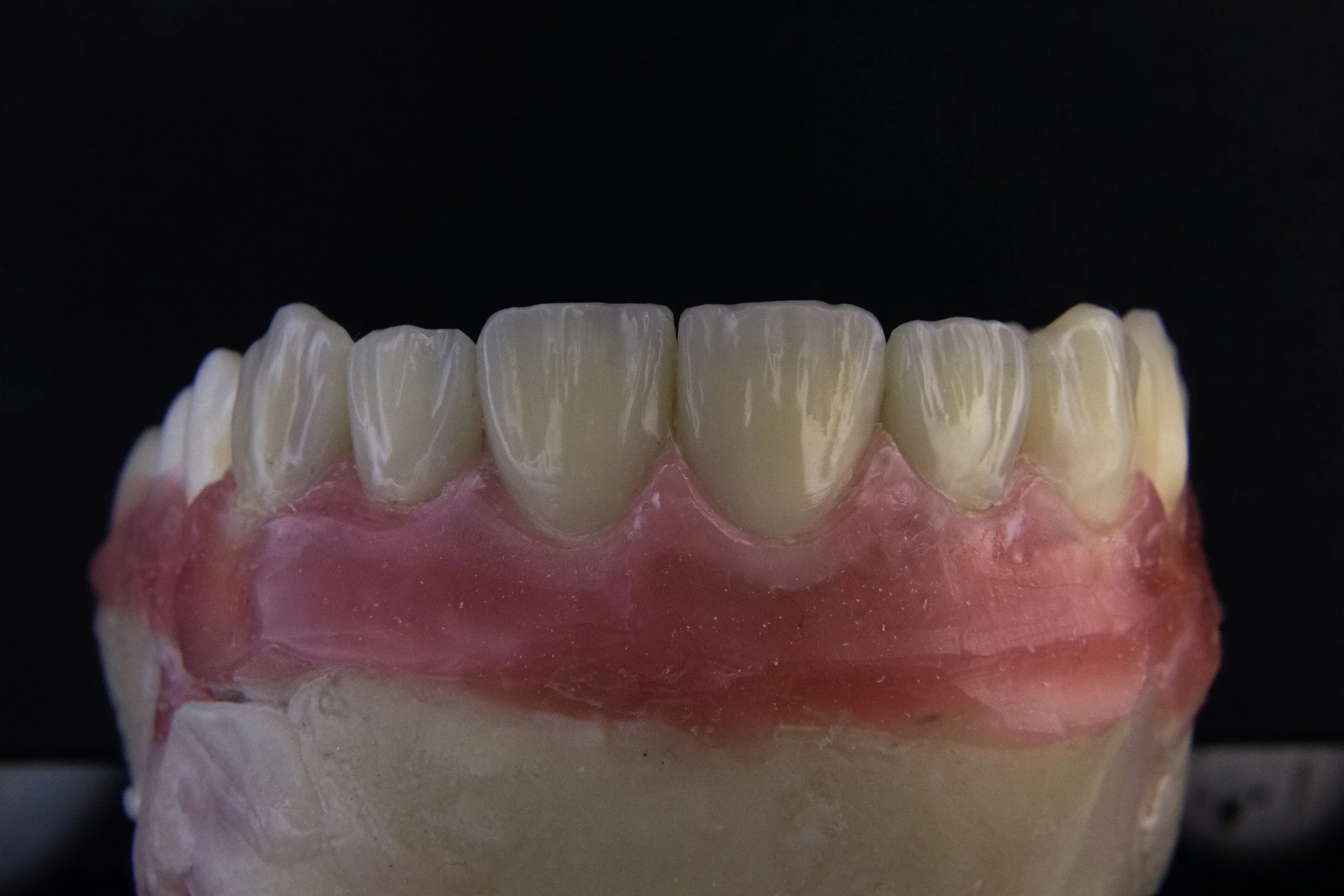
Full Dentures (Complete Dentures)

Used when all teeth in the upper or lower arch are missing. Modern dentures are crafted from high-quality resins that mimic the natural appearance of gum tissue and teeth.

Partial Dentures

If you still have some healthy natural teeth, a partial denture "plugs" the gaps. These are held in place by discreet clasps that attach to your remaining teeth, preventing them from shifting.

Implant-Supported Dentures

For the ultimate in stability, we can secure your dentures using dental implants. This prevents the "slipping" or "clicking" often associated with traditional dentures and allows you to eat your favorite foods with confidence.

Precision Fit & Natural Aesthetics

Many patients worry that dentures will look "fake" or feel bulky. We use advanced techniques in our Hawthorne office to ensure a superior result:

  • Custom Characterization: We select tooth shapes and shades that match your age, gender, and facial structure for a truly natural look.

  • Digital Impressions: We take highly accurate scans of your mouth to ensure the base of the denture fits the unique contours of your gums.

  • Trial Fittings: You’ll have the opportunity to "try on" your smile in wax before the final version is made, ensuring you are 100% happy with the appearance.

Serving the Hawthorne & South Bay Community

Losing teeth can be a stressful experience, but getting them replaced shouldn't be. Our office is located near the heart of Hawthorne, making it easy for residents of Holly Park, Del Aire, and Lawndale to visit us for fittings and adjustments.

We are proud to provide a welcoming environment where you can discuss your options comfortably with our multi-specialty team.

Frequently Asked Questions

  • Q: How long does it take to get dentures in Hawthorne?

    • A: The process typically takes a few weeks and several appointments to ensure the bite and fit are perfect.

  • Q: Can I eat normally with dentures?

    • A: There is a learning curve, but most patients return to a varied diet quickly. For those who want the most "natural" chewing experience, we highly recommend implant-supported dentures.

  • Q: How do I care for my dentures?

    • A: You should clean them daily with a soft-bristle brush and specialized cleaner, and always soak them overnight to keep them from warping.

  • Q: Do you offer denture repairs?

    • A: Yes! If your denture is cracked or loose, contact our Hawthorne office immediately. Never try to repair them yourself with store-bought glue.

Ready to Smile with Confidence Again?

Don't let missing teeth hold you back from enjoying life in the South Bay. Schedule a consultation at Trusted Dental & Orthodontics to learn about our affordable and premium denture options.

Address: 14248 Hawthorne Blvd, Hawthorne, CA 90250

Phone: (310) 694-9546

Hours:

Monday: 10 AM – 7 PM
Tuesday-Thursday: 9 AM – 6 PM Friday: 8 AM – 5 PM
Saturday: 9 AM – 3 PM